gehe zur facebook Seite - Zahnarzt Gerndt in Düsseldorf Benrath

Arbeiten aus unserer Praxis

Alle folgenden Patienten wurden in unserer Praxis behandelt. Der Zahnersatz wurde in unserem hauseigenen Dentallabor hergestellt.

Bleaching und Veneers
vorher - nach | Bleaching und Veneers

Bei dieser Patientin waren die Frontzähne in Form und Farbe zu verbessern. 
Unser Team hat ihr durch Bleaching und minimalinvasive Veneers aus Keramik ihr attraktives Lächeln zurückgegeben.

Harmonie von Rot und Weiß

Die Patientin war mit den stark verfärbten und gekippten Frontzähnen nicht zufrieden.
Wir konnten durch Harmonisierung des Zahnfleischverlaufes und Eingliederung zweier Veneers auf den mittleren Frontzähnen ein sehr ästhetisches Lippenbild erzeugen.

Kronen und Veneers

Seit vielen Jahren war die Patientin mit dem Aussehen ihrer verfärbten und stark gefüllten Zähne unzufrieden.  
Wir konnten das sympatische Lächeln der Patientin durch Implantate mit Vollkeramikkronen und Veneers wiederherstellen. 

Harmonischer Zahnfleischverlauf und Veneers

Diese junge Patientin war mit den Lücken zwischen den Zähnen und dem Zahnfleischrückgang seit langer Zeit unglücklich. Die Zähne waren bereits in Gefahr, verloren zu gehen. Wir haben die Zähne kieferorthopädisch vorbehandelt, das Zahnfleisch aufgebaut und Veneers aus Vollkeramik eingesetzt. Die Patientin ist mit dem Ergebnis sehr zufrieden. Wir freuen uns, ihr die eigenen Zähne erhalten zu haben.

Unfall

Bei diesem Fall war das Problem offensichtlich. Die Zähne sind bei einem Unfall abgebrochen.
Wir haben in unserer Praxis zwei Implantate eingesetzt und konnten die Zähne im Team mit unserem Zahntechniker in ihrer Originalform rekonstruieren. Die anderen Schneidezähne wurden mit Veneers versorgt.

Frontzahnverlust durch Entzündung

Diese junge Patientin kam mit einem entzündeten Frontzahn zu uns, nachdem sie in der Kindheit mit diesem Zahn einen Unfall hatte.
Da der Zahn nicht zu erhalten war, haben wir uns für eine minimalinvasive Versorgung durch ein einzelnes Implantat mit Vollkeramikkrone entschieden. Die Nachbarzähne konnten unbeschadet erhalten werden. 

Ästhetik durch Bleaching und Vollkeramikkrone

Die Patientin hatte ihren Zahnarzt schon mehrmals auf ihren stark verfärbten Eckzahn aufmerksam gemacht.  
Wir konnten ihren verständlichen Wunsch durch Bleaching und eine Vollkeramikkrone erfüllen.

Veneers und Non Präp Veneers

Dieselbe Patientin war nun auch mit ihren verfärbten und zu kurzen Frontzähnen belastet. Sie wollte die Zähne aber nicht abgeschliffen haben.
Durch den Einsatz extrem dünner Veneers mit nur 0,3mm Stärke konnten wir ihr auch diesen Wunsch erfüllen. 

Zurückgegangenes Zahnfleisch, verdrehter Zahn

Das Zahnfleisch hatte sich weit zurückgezogen und die Zähne wurden empfindlich. Wir konnten durch den Einsatz einer speziellen Regenerationstechnik das Zahnfleisch verlängern und verstärken. Der verdrehte Eckzahn wurde durch ein Veneer in seiner Form korrigiert.

Kieferorthopädie und Parodontitis

Bei diesem Patienten sind durch eine Parodontitis Zahnlücken entstanden.
Wir haben nach erfolgreicher Parodontitisbehandlung die Zahnlücken mit transparenten Invisalign-Schienen kieferorthopädisch geschlossen. Vollständige Heilung und Korrektur auf natürlichem Weg!

Implantate und Vollkeramikkronen

Die Patientin trug ihre herausnehmbaren Prothesen seit vielen Jahren. Die Lücke und die Verfärbungen waren ein überdeutliches Problem.
Mit Implantaten und vollkeramischen Kronen kann sie nun wieder auf festen Zähnen kauen. Die Ästhetik ist hervorragend.

Nonpräp Veneers

Dieser Patient hatte durch eine angeborene Schmelzbildungsstörung sehr dünne, rauhe und verfärbte mittlere Schneidezähne. Wir haben die Zähne mit hauchdünnen individuellen Veneers verblendet. Ein Beschleifen war nicht notwendig. Das Ergebnis zeigt eine natürliche Ästhetik. 

Bleaching und Veneers

Die Patientin hatte deutlich verschachtelte Frontzähne und einen mittleren Schneidezahn mit einem verfärbten Kunststoffveneer. Die Ästhetik war nicht zufriedenstellend.
Unser Team hat nach erfolgreichem Bleaching die Harmonie der Frontzähne durch vier Vollkeramikveneers wiederhergestellt. 

10 Jahre Lebensqualität gewonnen

Diese Patientin war mit den zu kurzen Zähnen ihrer Prothese unzufrieden. Die Lippe war nicht genügend unterstützt.
Wir haben Ihr Lächeln mit einer individuellen Zahnstellung auf festen Implantaten rekonstruiert. Die Lippe ist wieder vollständig unterstützt und hat dadurch das richtige Volumen. Die Patientin hat viele Jahre Lebensfreude gewonnen.

Implantate und Keramikkronen

Die Patientin hatte starke Verfärbungen und Abnutzungen an den vorhandenen Kronen. Durch Einsatz moderner Knochenrekonstrunktionen konnten wir Implantate einsetzen und der Patientin eine vollkeramische Lösung mit festen Zähnen anbieten. Die Ästhetik und der Kaukomfort sind ausgezeichnet.

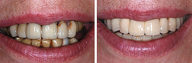
Keramikkronen

Die Patientin bat uns um Beseitigung der schwarzen Ränder an ihren alten Kronen. Wir haben ihr eine ästhetische Versorgung mit Keramikkronen eingesetzt, die im Lichtspiel eine sehr natürliche Wirkung haben.

Langer Zahnhals - Zahnfleischaufbau

Dieser Patient hatte einen auffallend langen freiliegenden Zahnhals am rechten Eckzahn. Das Zahnfleisch war seit vielen Jahren zurückgegangen und der Zahnhals war stark abgerieben. Wir haben durch Modellierung des Zahnhalses und Aufbau des Zahnfleisches ein stabiles und ästhetisches Ergebnis erzielt. 

Mundtrockenheit und Karies

Durch medikamentös bedingte Mundtrockenheit (Xerostomie) waren die Zähne der Patientin stark angegriffen und mussten in der Vergangenheit wiederholt gefüllt werden.
Eine dauerhafte und ästhetische Lösung konnten wir der Patientin durch die eingegliederten Vollkeramikkronen bieten.

Schwarze Dreiecke und verfärbte Zähne

Das ästhetische Defizit im Bereich der Frontzähne war sehr offensichtlich. Die Patientin wollte nicht mehr lachen.
Wir konnten die schwarzen Dreiecke zwischen den Zähnen und die Verfärbungen durch Bleaching und Rekonturierung mit Veneers und Keramikkronen beseitigen. So lacht sie wieder herzlich.

Ränder, dunkle Lücken, abgeknirschte Zähne

Die alten Metallkeramikkronen waren zu kurz, die Lücken zwischen den Zähnen sehr dunkel und das Zahnfleisch schimmerte schwarz.
Unser Team aus Zahnarzt und Zahntechniker konnte die originale Größe der Zähne rekonstruieren und die dunklen Lücken schliessen. Das Zahnfleisch hat seine jugendliche Farbe zurückgewonnen. Wir haben Vollkeramikkronen mit individueller Schichtung eingesetzt.

Durchgekaute Zähne mit unterschiedlicher Farbe

Die Patientin kam mit Knacken und Schmerzen im Kiefergelenk zu uns. Die Zähne waren stark abgeknirscht, der Biss abgesunken.
Wir konnten Ihre Schmerzen durch Rekonstruktion der Bisslage beseitigen. Ihr Lächeln haben wir mit vollkeramischen Kronen und Veneers wiederhergestellt.

Schwarze Lücken und dunkler Schneidezahn

Durch Schiefstand und Parodontitis waren große dunkle Zahnlücken entstanden. Der seitliche Schneidezahn war deutlich dunkler. Die junge Patientin war unglücklich mit Ihren Zähnen.
Wir haben den dunklen Zahn in einer Sitzung aufgehellt und die Lücken mit Composite geschlossen.

Schneidezahn mit durchschimmernder Wurzel

Dieser Patient kam mit dem Wunsch nach einem helleren seitlichen Schneidezahn zu uns.
Wir konnten ihm durch den Einsatz eines Implantates mit individuellem vollkeramischem Aufbau und individuell geschichteter Keramikkrone diesen Wunsch erfüllen. 

Die Herausforderung

Die Patientin stellte sich in unserer Praxis mit massiven Zahnfleischproblemen und deutlichen ästhetischen Herausforderungen vor. Sie wollte wieder lächeln und ohne Schmerzen kauen können.
Wir konnten ihr helfen und so kann sie wieder lächeln und kraftvoll zubeißen! 

Lückenschluss

Der junge Patient wurde uns vom Kieferorthopäden überwiesen. Er bat uns um Mithilfe, da die Zähne für den Kiefer zu schmal waren. Die deutlichen Lücken störten den Patienten sehr.
Wir haben die Lücken noninvasiv durch Zahnverbreiterungen aus Composite geschlossen. Diese Technik ist extrem schonend, da hierbei keinerlei Schmelz abgetragen werden muß.